
자연스러운 쌍꺼풀 라인으로
처진 눈꺼풀을 교정해
시원하고 또렷한 젊은 눈매로 돌아가고 싶다면
AMOND
상안검성형
각자의 눈매에 맞는 이상적인 쌍꺼풀 라인 구현
최소한의 절개로 흉터•부기 최소화
눈꺼풀 처짐 교정으로 기능적•심미적 개선을 동시에
아몬드 상안검성형은 노화로 인해 늘어난 눈꺼풀과 지방을 제거하고 개인의 눈에 어울리는 자연스러운 쌍꺼풀 라인을 만들어 전보다 시원하고 또렷해진
젊은 눈매로의 재건을 돕는 수술법으로, 처진 눈꺼풀로 인해 발생하는 문제점을 함께 개선해 동안 외모는 물론 기능적인 문제까지 해결 가능한 맞춤형
멀티 안티에이징 솔루션입니다.
Information
수술시간
1시간 30분 내외
마취방법
수면/국소
실밥제거
7일 후
회복기간
큰 부기 2주 이내
흉터
맞춤 절개로
흉터 최소화
How?
상안검성형 전과 후 어떻게
달라질 수 있을까?
BEFORE
다크서클
색소침착
눈 밑 처짐
어두운 인상
AFTER
탄력
환한 인상
동안 효과
밝은 인상
BASIC 상안검
획일화된 디자인
어색한 눈매
일반 절개
근육 교정 X
AMOND 상안검
정밀 진단 후 1:1 맞춤 솔루션
자연스러운 눈매
최소 절개로 흉터 및 부기 최소화
처진 눈꺼풀 교정으로 시야 확보
아몬드 상안검성형
Check Point!
#아몬드 상 · 하안검
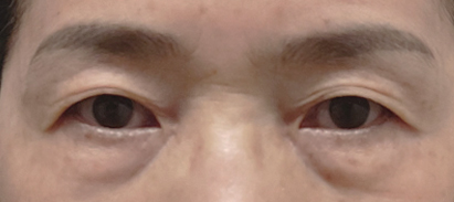
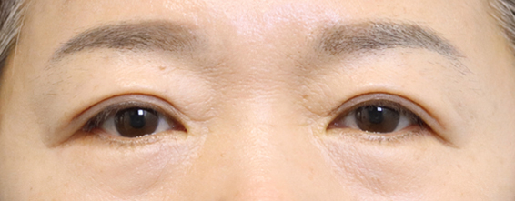
수술 전
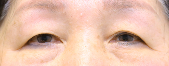
수술후 한달 차
케이스
눈 위쪽 피부 처짐으로 인하여 눈썹을 많이 쓰시고, 아래 눈꺼풀 불룩함이 동시에 있는 눈으로 좀 더 젊어 보이고
시원해 보이는 눈을 원하시지만 인상이 많이 바뀌는 부분에 걱정이 많으셨습니다.
수술계획
처진 눈 위쪽 피부를 위해 상안검 수술을 하여 교정을 하되, 인상이 많이 바뀌지 않으시도록
쌍꺼풀 라인을 가능한 자연스럽게 잡도록 하고 전체적으로 어려보이는 인상을 위해 눈 아래의
불룩한 피부를 편평하게 하안검 수술을 진행하였습니다.
수술경과
인상이 크게 바뀌지 않는 선에서 자연스럽게 처진 피부를 해결하였고,
눈 밑 또한 수술 전에 비해 불룩하고 늘어진 느낌이 개선되어 한층 인상이 밝아지셨습니다.
상안검 수술방법
아몬드성형외과 원장님의 특화된 수술 방법!
문제점 분석 후
1:1 맞춤 디자인 설계
최소 절개 후
불필요한 지방 제거
흉터 최소화를 위해
꼼꼼히 봉합
조명을 켠듯한 환한 눈 밑 완성
아몬드 상안검성형
수술 전
한달차
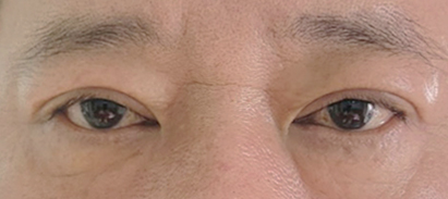
수술 전
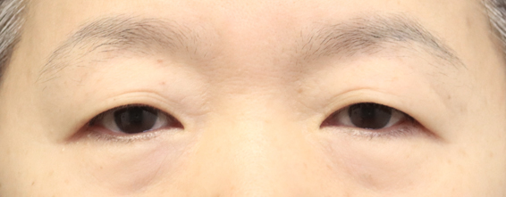
한달차
수술 전
한달차
수술 전
한달차
수술 전
한달차
수술 전
한달차
좌우로 스크롤을 움직여 확인해보세요.
A MOMENT OF NEW DAY