
계속되는 실패!
실패 원인이 중요합니다!
마지막 수술이 될 수 있도록
1:1 맞춤 눈 재수술
AMOND
눈재수술
실패 원인을 면밀히 분석
라인 디자인 / 조직, 흉터 최소화
풍부한 임상 경험 및 수술노하우로
1:1 맞춤 미적, 기능적 문제 개선
미적 기능적인 문제로 수술을 받았으나 만족스럽지 않은 결과 또는 부작용으로 인한 계속되는 실패!
실패 원인이 중요합니다. 실패 원인을 정확하게 분석하고 쌍꺼풀 재수술은 첫 수술에 비해 조직 손상이 크기 때문에
미용적, 기능적으로 마지막 수술이 될 수 있도록 더 꼼꼼하게 1:1 맞춤 눈매를 완성합니다.
Information
수술시간
1~2시간내외
마취방법
수면/국소
실밥제거
7일
회복기간
큰 부기 2주 이내
흉터
맞춤 라인 디자인으로
흉터 최소화
첫수술 재수술도
아몬드 눈재수술
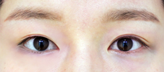
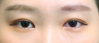
좌우로 스크롤을 움직여 확인해보세요.
더 많은 사례는 해당 사례를 클릭하여 확인해보세요.
아몬드 눈재수술
Check Point!
오직 눈에만 집중하는 차별화 된
아몬드 눈재수술
눈재수술 수술방법
아몬드성형외과 원장님의 특화된 수술 방법!
수술 실패 원인을 분석하고
어울리는 라인을 맞춤 디자인
1차 수술 때 만들어진
라인과 유착 조직을 정리
피부 두께, 처짐, 눈뜨는 힘을 고려하여
새로운 라인 고정 위치 결정
조직 손상을 최소화한 절개 또는
미세 절개하여 라인을 만들어 매듭처리
흉터 부작용 Down!
눈재수술 수술시기
조기 재수술
재수술 시기
개개인의 조직 회복과 안정화에 따라 정확한 재수술 시기를 권장 드립니다.
또한, 수술직후 부작용으로 인해 조기 재수술이
부득이하게 필요한 경우 조직이 유착이 되기 전에 재수술을 진행 하는 경우도 있습니다.
조기 재수술
수술직후 발생한 기능적 부작용인 경우 수술 후 1~2주 쯤 조기 재교정 시행
재수술 시기
수술 후 3개월~6개월간 쌍꺼풀 라인과 모양이 변화하기 때문에 6개월 후 재교정 권장
눈재수술
Q&A
Q
예전에 한 쌍꺼풀이 한쪽눈만 풀렸는데 한쪽눈만 재수술이 가능할까요?
가능합니다. 비절개 또는 절개 모두 재수술 시 비절개로 수술이 가능 한 경우 한쪽만 비절개로 쌍꺼풀 재수술이 가능합니다.
다만 한쪽만 수술했기 때문에 실제로 부기가 한쪽만 생기기 때문에 꽤 많은 부기가 빠질 때까지 부기가 있어 기다려야 합니다.
또 한쪽눈이 풀리면 다른 한쪽도 풀릴 가능성이 있어 재수술 시 양쪽 모두 하는 것을 추천합니다.
Q
쌍꺼풀 재수술은 흉터가 많이 남나요?
아닙니다. 기존 수술 때문에 생긴 흉터를 가리면서 재수술을 할 수 있습니다.
이전 수술로 인해 이미 생긴 흉터를 완전히 제거를 할 수는 없지만 흉터의 위치, 눈을 감았을 때 모양 등을 고려하여
기존 흉터를 최대한 눈에 띄지 않게 재수술 가능합니다.
Q
쌍꺼풀 수술 후 바로 재수술 해도 되나요?
일반적으로 비절개는 2~3개월, 절개는 3~6개월 이후 재수술을 받는게 좋습니다. 수술 후 3~6개월간 쌍꺼풀 라인과 모양이 변화하기
때문에 조직이 안정화가 되고 라인이 자리 잡힌 6개월 후 재교정을 권장 드리고 있습니다. 다만, 염증이나, 세균 감염, 기능적인
문제가 생겼을 때에는 이런 기간과 상관없이 치료를 마친 후 조기 재교정 또는 수술을 진행하는 것이 좋습니다.
Q
기존에 절개로 쌍꺼풀 수술을 했는데 비절개로도 재수술이 가능한가요?
절개로 수술했더라도 비절개 방식으로 재수술이 가능한 경우 가능합니다.
다만 피부가 많이 늘어졌거나 지방이 많은 경우, 아예 새로운 디자인의 쌍꺼풀을 원하는 경우, 기존 절개로 인한 흉터가
심한 경우에는 비절개로 재수술이 불가능할 수도 있어 상담을 통해 정확히 알 수 있습니다.
A MOMENT OF NEW DAY